インプラントブログ
インプラント周囲炎の改善
歯科医師の郡です。
新年あけましておめでとうございます。今年はさらなる飛躍の年とすべく、努力を積んで参ります。本年度もよろしくお願いいたします。
さて、インプラントは咬み合わせの回復に有効な治療となります。
一方で、インプラントの管理等により、インプラント治療後に問題が起こる場合もあり、その一つがインプラント周囲炎となります。インプラント治療後に起きる偶発症としてはとても発生率が高い偶発症となります。
インプラント周囲炎はいわゆるインプラントの歯周病のようなもので、歯周病よりも改善が難しい場合が多いと思います。私も複数症例治療に当たったことがありますが、改善には苦労します。放置するとインプラントが抜けてしまう場合もありますので、治療が必要です。
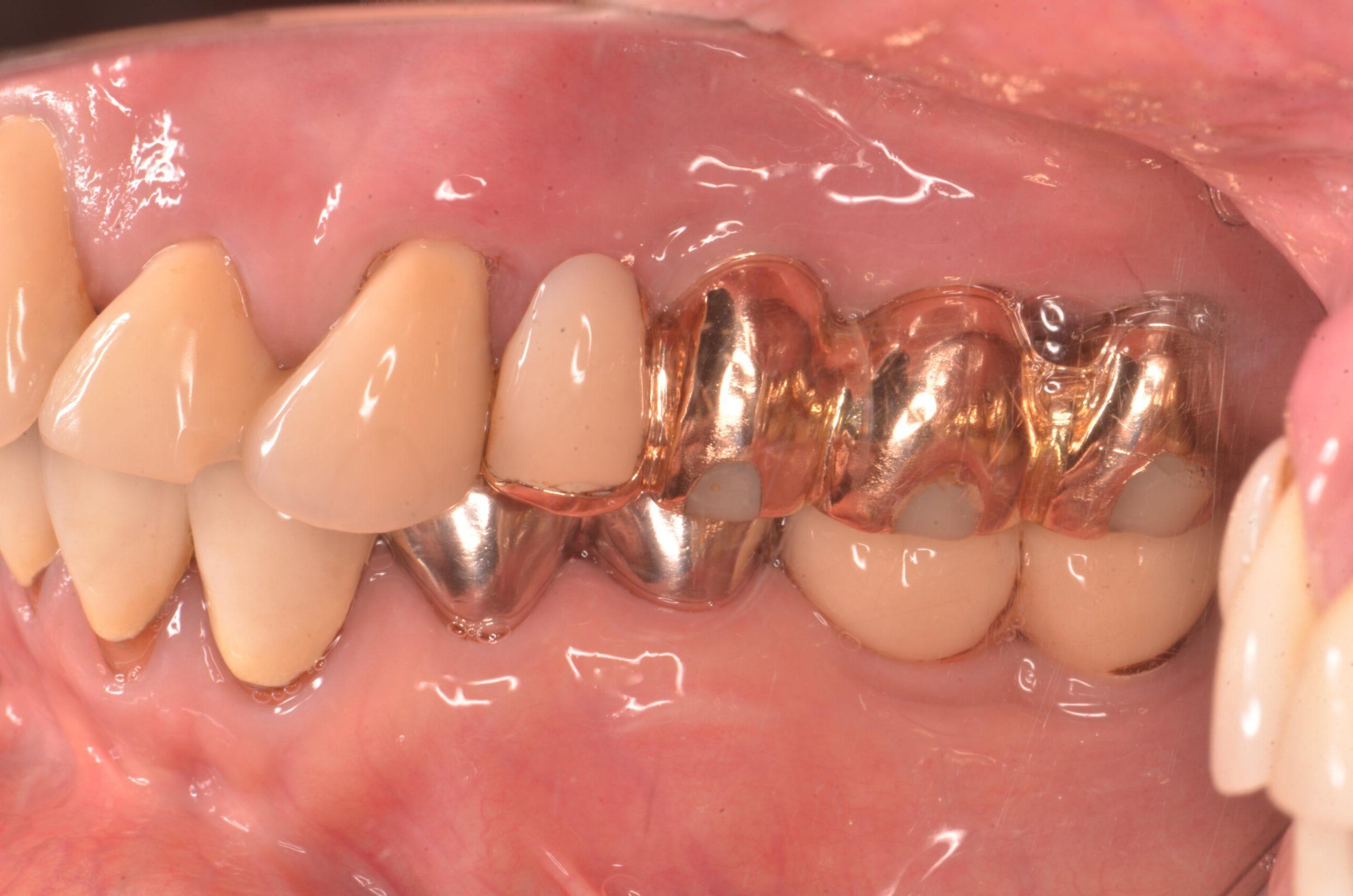
写真の症例はインプラントから膿がでています。

本症例はインプラントを消毒しても治らなかったので、インプラントのバイ菌を除去する手術で
なおさせていただき、歯ぐきはしっかりと引き締まりました。

多くのインプラントをされた患者さまがメインテナンスに来ていただいており嬉しく思います。
これからもインプラントおよび歯の長期維持に務めてまいりますので、お力になれれば幸いです。