インプラントブログ
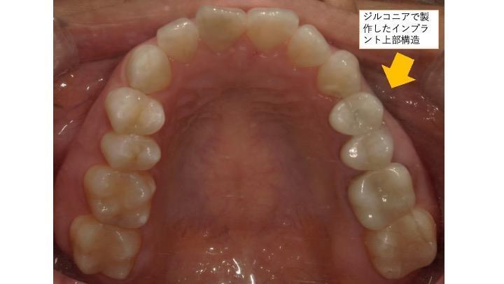
インプラント上部構造は9割ほどジルコニアで製作
院長の郡です。
一月もインプラントの相談を多く受けており、スタッフの力も借りながら相談内容に丁寧に対応しているところです。
今月も患者様のお役に立てるように全力を尽くして参ります。

最近はインプラント上部構造はほとんど設計が決まっています。
9割の方がジルコニアを選択されます。
①人口ダイヤモンドと言われるように美しい ②硬いので破損しにくい ③生体親和性がある
④当院は院内製作できるので価格をリーズナブルに提供出来る
上記が、ジルコニアを選択されるときのアドバンテージとなるでしょう。
昔はいろんな材料を使ってきました。金パラ、金合金、白金加金、ハイブリッドセラミック、メタルボンド、コバルトクロムなど様々おこなってきましたが、いずれも審美性か強度に問題を抱えます。
チタンアバットメント+ジルコニアの組み合わせが審美性も強度も高く、最近はこの一択です。

銀色の部分はアバットメントといい、インプラントに繋がる土台です。白い部分がジルコニアです。
スーパーボンドか、パナビアV5という強い合着セメントで接着します。
本設計が割れたケースはほとんどありません。
ただ、設計には多くの知識が必要で、インプラント埋入段階から上部構造をイメージ為ておく必要があります。(トップダウントリートメント)
今年も是非インプラントが必要と考えられる患者様は相談ください。
私に多くの貢献をさせてください。