インプラントブログ
サージカルガイドによるインプラント埋入
当院ではインプラントケースはほぼ全症例このようなサージカルガイドを制作します。インプラントの正確な埋入にはあるに越したことはありません。
TRIOSという口腔内スキャナでとった画像からデジタル設計し、当院の3Dプリンタで3Dプリントして製作します。適合精度は良好です。
次回大阪での公演でもこの話を少しします。院内製作しているところは少ないと思いますが、製作コストを削減できるので患者様のインプラント手術コストを下げることができることができます。

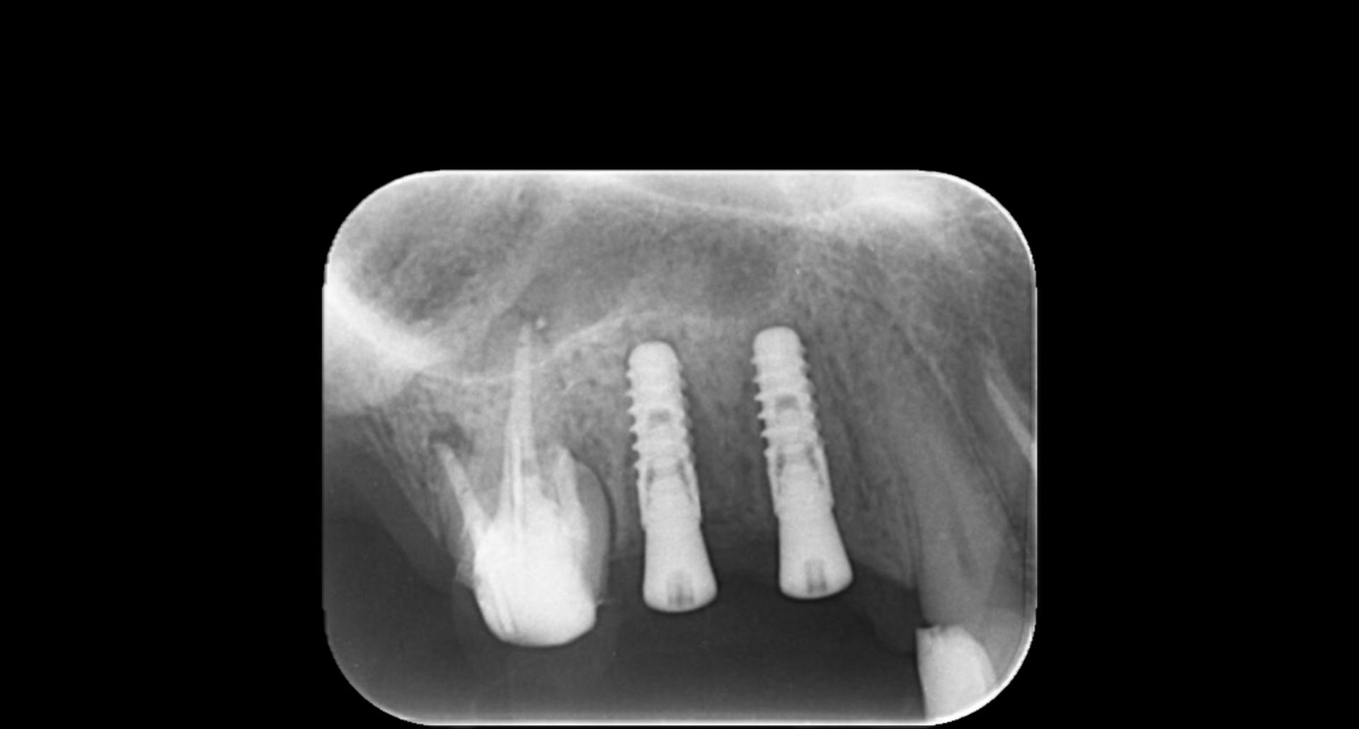
上のガイドを使った症例はこのように小臼歯が作りやすい位置に正確にインプラント埋入をできました。

骨幅が細いケースで埋入位置がずれると、骨が裂開してしまうケースですが、裂開無く、骨増生もせず、最小限の侵襲(MI)でインプラント埋入を無事終えております。
今後もインプラント専門医として貢献していきたいと考えます。