福岡市博多区の歯科・インプラント・審美歯科・口腔外科・義歯

〒812-0011
福岡県福岡市博多区博多駅前3丁目22−2
ナインアワーズビル 1階

092-409-9974
WEB予約 急患用予約 料金表

スタッフブログ

審美治療

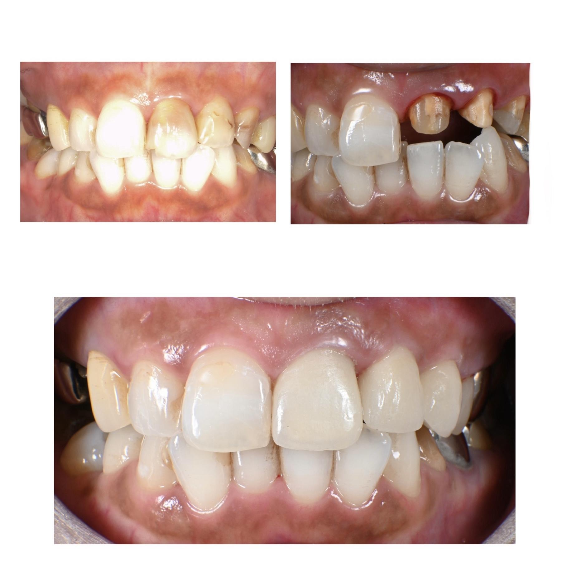
こんにちは歯科技工士の森です。

先日治療された患者様の治療前と治療後です。左前歯のジルコニアを作成し装着し綺麗に入りました。

もし同じようなお悩みの方がいらっしゃればお声掛けかけ下さい!