福岡市博多区の歯科・インプラント・審美歯科・口腔外科・義歯

〒812-0011
福岡県福岡市博多区博多駅前3丁目22−2
ナインアワーズビル 1階

092-409-9974
WEB予約 急患用予約 料金表

スタッフブログ

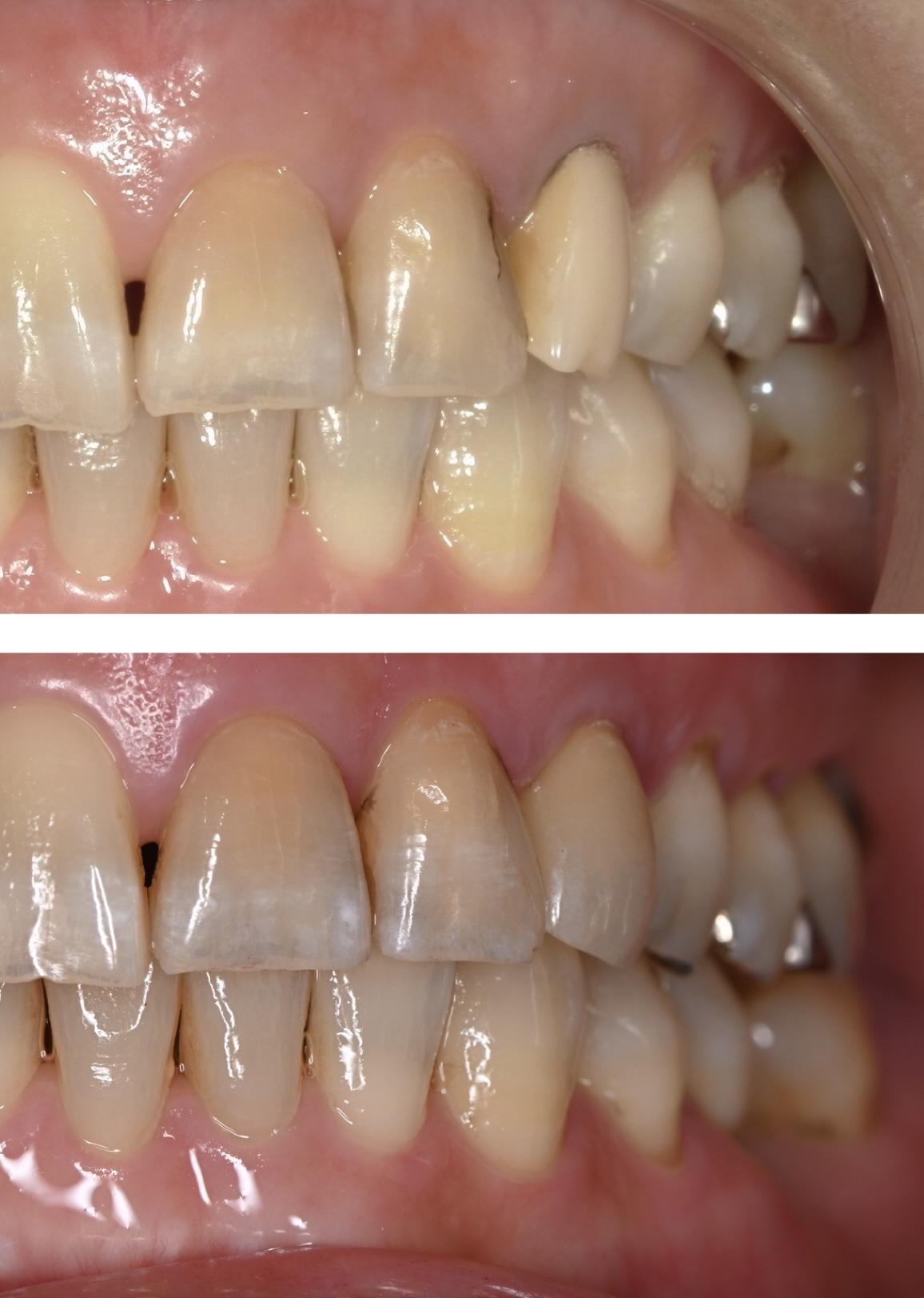
上顎犬歯ジルコニアレイヤリング

こんにちは歯科技工士の森です。

上顎左犬歯のジルコニアレイヤリングの治療前と治療後です。

前歯の切端部の透明感が強くホワイトバントもある症例です。

綺麗な前歯 気になっている方はご相談ください!