こんにちは歯科技工士の森です。
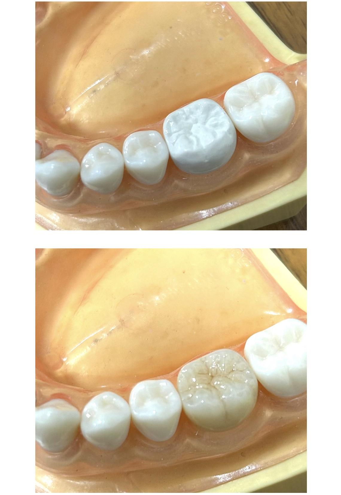
現在保険治療適用の被覆冠の一つにPEEK冠というものがあります。PEEKとはポリエーテルエーテルケトンという樹脂の略称で耐熱性や耐薬品性のほか、機械特性にも非常に優れており、金属代替等の信頼性が必要とされる分野で使われています。
衝撃にも強く薄くても割れにくい特徴がありますので奥歯、特に割れやすい症例などに用いられます。
色はホワイトとアイボリーの2色でサンプルもございますのでご相談の際はお手に取りご覧ください。
写真 上:PEEK冠ホワイト 下:ジルコニアステイニング
