福岡市博多区の歯科・インプラント・審美歯科・口腔外科・義歯

〒812-0011
福岡県福岡市博多区博多駅前3丁目22−2
ナインアワーズビル 1階

092-409-9974
WEB予約 急患用予約 料金表

スタッフブログ

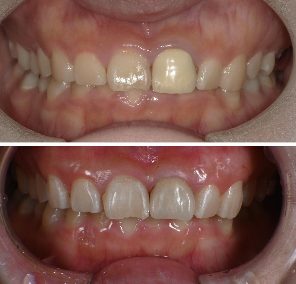
右上前歯ジルコニアレイアリング

 

みなさまこんにちは歯科技工士の森です。

ジルコニアレイアリングによる右上前歯の症例です。