福岡市博多区の歯科・インプラント・審美歯科・口腔外科・義歯

〒812-0011
福岡県福岡市博多区博多駅前3丁目22−2
ナインアワーズビル 1階

092-409-9974
WEB予約 急患用予約 料金表

スタッフブログ

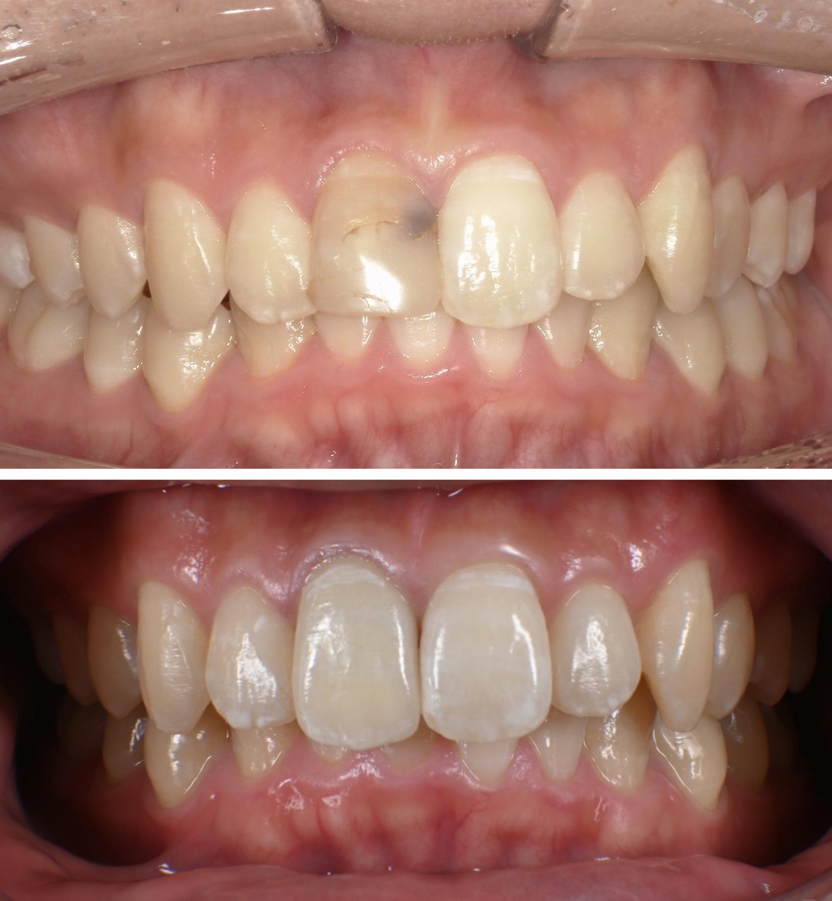
前歯部審美治療

皆様こんにちは歯科技工士の森です。

上顎右側中切歯のジルコニアレイヤリングによる審美回復の紹介です。

レジン充填してまばらだった歯の回復でホワイトバンド、ホワイトスポットの表現をしてより天然歯に近づいた補綴になっております。